Skip Navigation
Skip to contents

Brain Tumor Res Treat.  2023 Oct;11(4):274-280. 10.14791/btrt.2023.0029.

Extensive Leptomeningeal Spreading of Ependymoma in an Adult: Case Report and Literature Review

Affiliations
  • 1Department of Neurosurgery, Kangbuk Samsung Hospital, Sungkyunkwan University School of Medicine, Seoul, Korea

Abstract

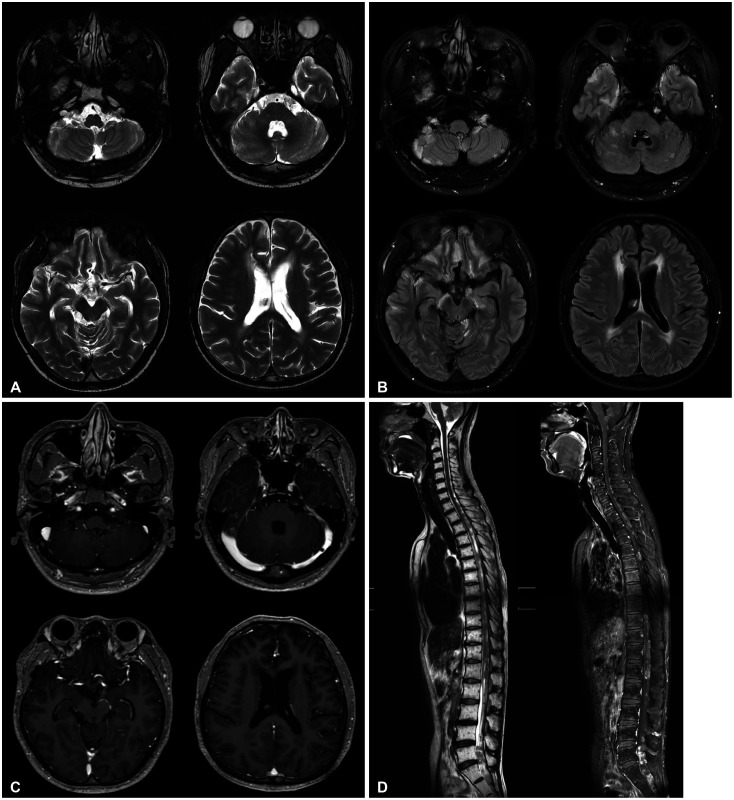
Ependymoma is a rare adult tumor that originates from ependymal cells of the central nervous system, primarily occurring in the cerebral ventricles or the central canal of the spinal cord. In this paper, we report a case of extensive leptomeningeal seeding of ependymoma of a 39-year-old male patient, in whom the tumor was found incidentally after head trauma. The MRI exhibited diffuse leptomeningeal infiltrative lesions along with bilateral multiple cerebral sulci, basal cisterns, cerebellopontine angle, cerebellar folia. It also showed multinodular enhancing T1 low T2 high signal intensity lesions along the whole spinal cord. After the tumor biopsy at right temporal lesion, pathologic diagnosis was classic ependymoma (WHO grade 2). The patient has undergone radiation therapy and chemotherapy, and is currently maintaining a stable condition two years after surgery. This report suggests that when considering the differential diagnosis of extensive lesions both in the intracranial and intraspinal space, ependymoma should also be considered.

Keyword

Ependymoma; Brain tumor; Spinal tumor; Leptomeningeal seeding
Full Text Links
  • BTRT
Actions
Cited
CITED
export Copy
Close
Share
  • Twitter
  • Facebook
Similar articles
Copyright © 2026 by Korean Association of Medical Journal Editors. All rights reserved.     E-mail: koreamed@kamje.or.kr