Skip Navigation
Skip to contents

J Korean Soc Radiol.  2016 Jun;74(6):394-398. 10.3348/jksr.2016.74.6.394.

Interrupted Inferior Vena Cava with Hemiazygos Continuation in an Adult with a Persistent Left Superior Vena Cava and Left Single Coronary Artery: A Case Report

Affiliations
  • 1Department of Radiology, College of Medicine, Kyung Hee University, Seoul, Korea. Kwon98@khu.ac.kr
  • 2Department of Cardiology, College of Medicine, Kyung Hee University, Seoul, Korea.
  • 3Department of Radiology, Kyung Hee University Hospital at Gangdong, Seoul, Korea.

Abstract

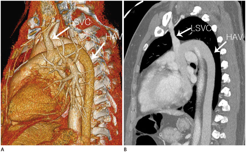
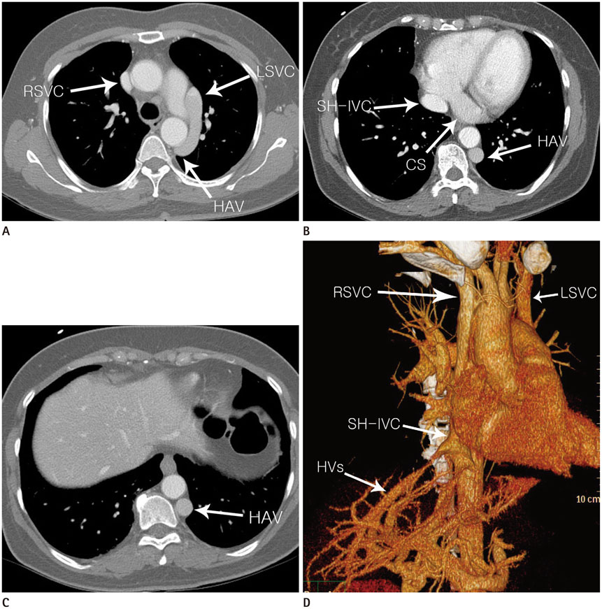
A 50-year-old woman was referred to our institution for medical screening due to an incidental finding on abdominal ultrasonography. She underwent chest, abdomen and cardiac multi-detector computed tomography (MDCT). Her MDCT revealed absence of the hepatic segment of the inferior vena cava (IVC), with hemiazygos continuation and a left single coronary artery. The dilated hemiazygos vein drained directly into the persistent left superior vena cava (SVC). Herein, we reported a very rare case combining an incidentally found interrupted IVC with hemiazygos vein continuation, persistent left SVC and a left single coronary artery diagnosed by MDCT.


MeSH Terms

Abdomen
Adult*
Coronary Vessel Anomalies
Coronary Vessels*
Female
Humans
Incidental Findings
Mass Screening
Middle Aged
Thorax
Ultrasonography
Vascular Malformations
Veins
Vena Cava, Inferior*
Vena Cava, Superior*
Full Text Links
  • JKSR
Actions
Cited
CITED
export Copy
Close
Share
  • Twitter
  • Facebook
Similar articles
Copyright © 2026 by Korean Association of Medical Journal Editors. All rights reserved.     E-mail: koreamed@kamje.or.kr